Anschrift des Verfassers
Prof. Dr. sc. med. Thomas Müller Medizinisches Gutachteninstitut Döbeln Bahnhofstraße 32 04720 Döbeln
Dargestellt wird ein Fall, bei dem sich ein Versicherter eine Phlegmone seines 4. Fingers rechts nach Bagatellverletzung zuzog. Im weiteren Verlauf kam es zu schwerwiegenden bis lebensbedrohlichen Komplikationen, die auf den einzelnen Diagnose- und Behandlungsetappen jeweils nicht zeitgerecht...
Zusammenfassung
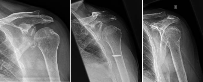
Zur Zusammenhangsbegutachtung steht der Fall eines Versicherten, welcher eine arbeitsunfallbedingte persistierende hintere Schulterinstabilität links bei berufsgenossenschaftlich anerkannter Vorerkrankung am Schultergelenk erlitt. Berichtet wird über die medizinische Behandlung und...
Kielbrust und Trichterbrust stellen die häufigsten Deformitäten der vorderen Brustwand dar.
Zur Behandlung kommen konservative und operative Methoden infrage. Bezüglich der operativen Behandlung zulasten der gesetzlichen Krankenversicherung ist zu prüfen, ob eine rechtfertigende...