Zusammenfassung
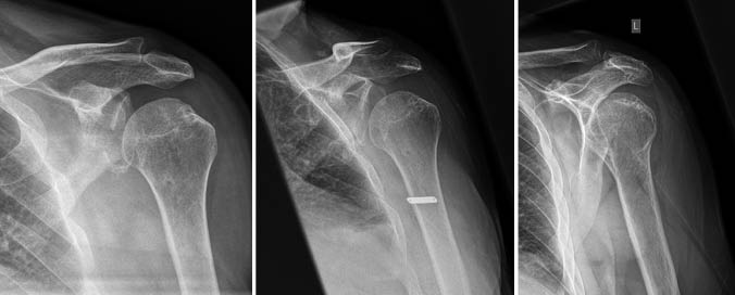
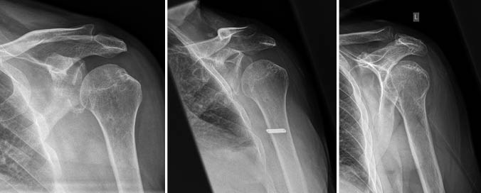
Zur Zusammenhangsbegutachtung steht der Fall eines Versicherten, welcher eine arbeitsunfallbedingte persistierende hintere Schulterinstabilität links bei berufsgenossenschaftlich anerkannter Vorerkrankung am Schultergelenk erlitt. Berichtet wird über die medizinische Behandlung und den unfallbedingten Verschlimmerungsanteil bei Vorerkrankung am Schultergelenk. Nach Implantation einer inversen Schulterendoprothese links resultiert bei weiterem komplikationslosen postoperativen Rehabilitationsverlauf keine messbare MdE aus dem zu beurteilenden Unfall.
Schlüsselwörter Arbeitsunfall – Erstschaden – Kausalität – Vorerkrankung – Verschlimmerungsanteil – inverse Schulterprothese – Begutachtung
MedSach 116 2/2020: 84–88
Anschrift des Verfassers
Prof. Dr. med. Roland Cyffka
Medizinisches Gutachteninstitut Döbeln
Bahnhofstraße 32
04720 Döbeln 
 
    